Сифилис головного мозга, или нейросифилис, — серьезное осложнение, возникающее при прогрессировании сифилиса, вызванного инфекцией бледной трепонемой. В статье рассматриваются симптомы, признаки, последствия нейросифилиса, а также методы его диагностики и лечения. Раннее выявление и адекватная терапия могут существенно снизить риск тяжелых неврологических нарушений и улучшить качество жизни пациентов.
Сифилис – влияние на мозг
Сифилис мозга возникает, когда инфекционный агент проникает в оболочки мозга через кровеносные сосуды. Эта патология встречается довольно редко, чаще всего из-за отсутствия адекватного лечения или неправильного выбора терапевтического курса. В результате этого происходит сбой в функционировании нервной системы, что может затрагивать и другие органы. По данным специалистов, сифилис головного мозга может развиться только через 5–7 лет после заражения и появления первичных признаков сифилиса.
Сифилис головного мозга, или нейросифилис, представляет собой серьезное заболевание, которое может развиваться на поздних стадиях сифилиса. Эксперты подчеркивают, что его признаки могут варьироваться от легких неврологических расстройств до тяжелых психических нарушений. Наиболее распространенные симптомы включают головные боли, изменения в поведении, потерю памяти и даже судороги. Важно отметить, что без своевременного лечения нейросифилис может привести к необратимым последствиям, таким как деменция или паралич. Специалисты рекомендуют регулярные обследования и тестирование на сифилис, особенно для групп риска, чтобы предотвратить развитие этого опасного состояния. Ранняя диагностика и адекватная терапия являются ключевыми факторами в успешном лечении и минимизации последствий заболевания.
https://youtube.com/watch?v=EttAwhNYhxk
Что такое нейросифилис?
Даже при наличии такой болезни, как нейросифилис, пациенты могут не полностью осознавать, что это такое. Этот термин описывает поражение мозговых оболочек и сосудов мозга, вызванное бледной трепонемой, что приводит к возникновению психических расстройств. Часто они могут быть связаны с:
- менингитом;
- менингоэнцефалитом;
- артериитом;
- эндартериитом.
Клинические проявления сифилиса головного мозга отличаются разнообразием. В зависимости от проявляющихся симптомов, специалисты выделяют несколько форм сифилитического поражения мозга. Тем не менее, для точного диагноза и назначения эффективного лечения необходима комплексная диагностика, которая позволяет точно определить очаг воспаления и причины заболевания.
| Категория признаков | Признаки | Последствия |
|---|---|---|
| Общие неврологические | Головные боли, головокружения, тошнота, рвота | Хронические боли, снижение качества жизни, инвалидизация |
| Судороги, эпилептические припадки | Повреждение мозга, статус эпилептикус, смерть | |
| Нарушения сна (бессонница, сонливость) | Хроническая усталость, снижение когнитивных функций | |
| Повышенная утомляемость, слабость | Снижение работоспособности, апатия | |
| Когнитивные нарушения | Снижение памяти (кратковременной и долговременной) | Деменция, потеря самостоятельности |
| Нарушения внимания и концентрации | Трудности в обучении и работе | |
| Снижение интеллекта, трудности в принятии решений | Деградация личности, социальная изоляция | |
| Изменения личности (раздражительность, апатия, агрессия) | Конфликты в семье и на работе, потеря социальных связей | |
| Психические нарушения | Депрессия, тревожность, апатия | Суицидальные мысли, социальная дезадаптация |
| Психозы (галлюцинации, бред) | Опасность для себя и окружающих, необходимость госпитализации | |
| Мании, эйфория | Неадекватное поведение, финансовые проблемы | |
| Нарушения движений и координации | Атаксия (нарушение координации движений) | Падения, травмы, трудности в передвижении |
| Парезы и параличи (слабость или отсутствие движений) | Инвалидность, необходимость посторонней помощи | |
| Тремор (дрожание конечностей) | Трудности в выполнении точных движений | |
| Нарушения походки (шаркающая, неустойчивая) | Повышенный риск падений | |
| Нарушения чувствительности | Онемение, покалывание, жжение | Снижение качества жизни, риск травм |
| Болевые синдромы (невралгии) | Хронические боли, снижение работоспособности | |
| Нарушения зрения | Снижение остроты зрения, диплопия (двоение в глазах) | Слепота, снижение качества жизни |
| Атрофия зрительного нерва | Необратимая потеря зрения | |
| Нарушения слуха | Снижение слуха, шум в ушах | Глухота, социальная изоляция |
| Нарушения речи | Дизартрия (нарушение произношения) | Трудности в общении, социальная дезадаптация |
| Афазия (нарушение понимания или воспроизведения речи) | Полная потеря способности к общению | |
| Нарушения функций тазовых органов | Недержание мочи и кала | Снижение качества жизни, гигиенические проблемы |
| Импотенция, фригидность | Нарушение сексуальной функции, проблемы в отношениях | |
| Специфические признаки нейросифилиса | Зрачок Аргайлла-Робертсона (отсутствие реакции зрачков на свет при сохранении реакции на аккомодацию) | Диагностический признак нейросифилиса |
| Табес дорзалис (поражение задних столбов спинного мозга) | Атаксия, сенсорные нарушения, трофические расстройства | |
| Прогрессивный паралич (поражение коры головного мозга) | Деменция, психозы, параличи | |
| Менинговаскулярный сифилис (поражение сосудов головного мозга) | Инсульты, транзиторные ишемические атаки | |
| Гуммы головного мозга (опухолевидные образования) | Очаговые неврологические симптомы, повышение внутричерепного давления |
Интересные факты
Вот несколько интересных фактов о сифилисе головного мозга и нейросифилисе:
-
Многообразие симптомов: Нейросифилис может проявляться различными неврологическими симптомами, включая головные боли, изменения в поведении, проблемы с памятью и даже психоз. Эти симптомы могут развиваться как в остром, так и в хроническом виде, что делает диагностику сложной.
-
Историческая значимость: Нейросифилис был широко распространен в начале 20 века, и многие известные личности, такие как писатель Федор Достоевский и композитор Игорь Стравинский, страдали от этого заболевания. В то время лечение было ограничено, и многие пациенты испытывали серьезные последствия.
-
Лечение и прогноз: Современные методы лечения нейросифилиса включают антибиотики, такие как пенициллин, которые могут эффективно устранять инфекцию. Однако, несмотря на успешное лечение, некоторые неврологические последствия могут оставаться на всю жизнь, что подчеркивает важность ранней диагностики и лечения.
https://youtube.com/watch?v=ob9t1ch2fuU
Нейросифилис – причины
Врачи отмечают, что сифилис мозга является результатом длительного воздействия бледной трепонемы на организм. Это заболевание развивается как осложнение. Бледная трепонема представляет собой микроорганизм в форме спирали, имеющий от 8 до 14 завитков. Ее длина может достигать 14 мкм, что делает возможным обнаружение трепонемы только с помощью микроскопа. Этот патоген обладает высокой подвижностью, что способствует его быстрому распространению в организме.
Специалисты подчеркивают, что проникновение трепонемы в организм происходит через поврежденные слизистые оболочки. При этом контакт с пациентом, страдающим нейросифилисом, представляет опасность не столько из-за самого заболевания, сколько из-за сопутствующих венерических инфекций. Бледная трепонема присутствует во всех биологических жидкостях организма инфицированного человека: в вагинальных выделениях, сперме, крови и слюне.
Нейросифилис – пути передачи
Бледная трепонема, проникая в организм, становится причиной первичного сифилиса. Основной способ ее передачи – половой контакт. Патоген проникает через микроскопические трещины на коже и слизистых оболочках, которые могут возникать во время сексуальных отношений. При этом, как отмечают специалисты, не имеет значения, какой именно тип полового акта был осуществлен (анальный или оральный). Использование барьерных средств контрацепции может снизить вероятность заражения, однако полностью исключить ее не удается. К другим способам передачи сифилиса относятся:
- Гемотрансфузионный – через переливание зараженной крови или при использовании многоразовых шприцев для инъекций.
- Бытовой – при близком контакте с инфицированным человеком, например, через общие полотенца, посуду, бритвы или зубные щетки.
- Трансплацентарный – от инфицированной матери к ребенку.
- Профессиональный – заражение медицинского персонала во время инъекций и других процедур с пациентами, страдающими сифилисом.
Нейросифилис – симптомы
Заболевание проявляется развитием неврологических симптомов. Клиническая картина варьируется в зависимости от стадии болезни. Например, при сифилисе мозга могут наблюдаться:
- ухудшение памяти;
- астения;
- постоянные головные боли.
Пациенты часто отмечают повышенную утомляемость и снижение работоспособности. В случае позднего сифилиса, который возникает спустя 5 лет после заражения, трепонема проникает в спинной мозг, затрагивая нервные корешки. Это приводит к развитию сухотки спинного мозга.
Клинические формы сифилиса мозга
В зависимости от типа поражения и стадии заболевания, сифилис головного мозга может проявляться различными клиническими симптомами. Учитывая эту особенность, специалисты выделяют несколько форм болезни с характерными признаками:
- Сифилитическая неврастения – проявляется симптомами, свойственными неврозам. Пациенты отмечают значительное ухудшение памяти, которое сопровождается постоянными или периодическими головными болями, повышенной раздражительностью, снижением настроения и работоспособности.
- Менинговаскулярный сифилис головного мозга – характеризуется поражением оболочек мозга. Воспалительный процесс может развиваться по типу энцефалита или менингита. У пациента наблюдаются мучительные, непрекращающиеся головные боли, а также симптомы параличей и парезов черепно-мозговых нервов.
- Сосудистая форма – связана с поражением как крупных, так и мелких сосудов головного мозга. Это приводит к инсультам, параличам и парезам.
- Гуммозная форма – проявляется образованием гумм (узлов) в оболочках мозга. Клиническая картина напоминает опухолевое поражение головного мозга: наблюдаются параличи, парезы и оглушение. При дальнейшем прогрессировании может развиться психологический синдром, сопровождающийся апатией или эйфорией.
- Сухотка спинного мозга – поздняя форма сифилиса, при которой трепонемы проникают в спинной мозг. У пациента развивается астереогноз – неспособность распознавать предметы на ощупь с закрытыми глазами. Прогрессирование заболевания может привести к утрате способности передвигаться.
Нейросифилис – диагностика
При диагностике нейросифилиса результаты анализов играют ключевую роль. Врачи опираются на три основных критерия:
- Положительная реакция на тест Вассермана.
- Клинические проявления.
- Изменения в спинномозговой жидкости.
Среди лабораторных методов диагностики обязательными являются:
- RPR-тест;
- РИФ;
- РИБТ.
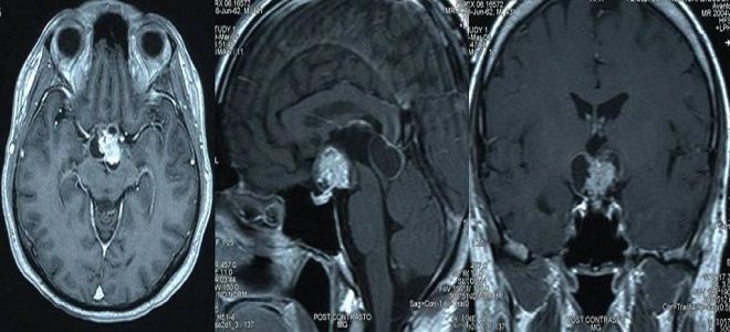
Если нет признаков компрессии спинного мозга, может быть выполнена люмбальная пункция для анализа спинномозговой жидкости. В полученных результатах могут быть обнаружены трепонемы и белковые клетки. Для более точной диагностики нейросифилиса и определения очага инфекции, а также его размеров, часто проводят МРТ. В ходе исследования могут быть выявлены следующие признаки патологии:
- утолщение оболочек мозга;
- гидроцефалия;
- атрофия мозгового вещества;
- наличие гумм.
Нейросифилис – лечение
Лечение осуществляется в условиях стационара. Основу терапии составляют антибиотики, в частности пенициллины, которые применяются в высоких дозах. Продолжительность курса антибиотикотерапии составляет 14 дней. Важно отметить, что внутримышечное введение препарата не обеспечивает необходимую концентрацию антибиотика в крови. Для пациентов с аллергией на пенициллины назначается Цефтриаксон.
В некоторых случаях после начала терапии может наблюдаться ухудшение неврологических симптомов, что сопровождается повышением температуры, учащением сердцебиения и снижением артериального давления. В таких ситуациях лечение дополняется противовоспалительными и кортикостероидными средствами. Эффективность терапии во многом зависит от времени начала лечения и стадии сифилиса. Неблагоприятный прогноз характерен для позднего нейросифилиса, когда лечение оказывается неэффективным.
Нейросифилис – последствия
С током крови бактерия бледная трепонема может попасть практически в любой орган или ткань организма, что объясняет широкий спектр возможных осложнений данной патологии. Раннее начало лечения значительно снижает вероятность их возникновения, однако полностью исключить их не удается. Часто после менинговаскулярного сифилиса наблюдаются остаточные эффекты, такие как:
- дизартрия;
- парезы.
Поздняя диагностика сифилиса может привести к тому, что неврологические симптомы сохраняются на всю жизнь, что нередко становится причиной инвалидности. Прогрессирующий паралич в некоторых случаях может закончиться летальным исходом. Например, туберкулез спинного мозга практически не поддается лечению, и более 90% случаев этой стадии завершаются смертью.
Нейросифилис – прогноз
Стадия заболевания, на которой начинается лечение, играет ключевую роль. Ранний нейросифилис поддается эффективной терапии, и риск осложнений в этом случае минимален. Тем не менее, следует помнить, что полностью восстановить поврежденные участки мозга не удается. Такие состояния, как парезы, параличи и астения, могут сохраняться на протяжении всей жизни, негативно влияя на качество жизни пациента. Хотя вероятность летального исхода существует, медицинские специалисты стараются избегать таких предсказаний.
https://youtube.com/watch?v=VaHYWqbVVeo
Профилактика нейросифилиса
Профилактика нейросифилиса включает в себя несколько ключевых аспектов, направленных на предотвращение заражения сифилисом и его последствий для центральной нервной системы. Основные меры профилактики можно разделить на индивидуальные и общественные.
Индивидуальные меры:
- Безопасный секс: Использование презервативов и других барьерных методов контрацепции значительно снижает риск передачи сифилиса и других инфекций, передающихся половым путем. Важно также избегать случайных половых связей и иметь постоянного партнера.
- Регулярные медицинские обследования: Периодические проверки на наличие инфекций, передающихся половым путем, особенно для людей с высоким риском, таких как мужчины, имеющие секс с мужчинами, или лица с несколькими половыми партнерами. Раннее выявление сифилиса позволяет начать лечение на ранних стадиях, что предотвращает развитие нейросифилиса.
- Информированность: Образование о сифилисе и его последствиях, включая нейросифилис, помогает людям осознанно подходить к своему здоровью. Знание симптомов и способов передачи инфекции может способствовать более ответственному поведению.
Общественные меры:
- Образовательные программы: Проведение кампаний по повышению осведомленности о сифилисе и его последствиях, включая нейросифилис, в школах, медицинских учреждениях и общественных местах. Это может включать распространение информационных материалов и организацию семинаров.
- Доступ к медицинским услугам: Обеспечение доступности тестирования и лечения сифилиса для всех слоев населения, особенно для уязвимых групп. Это может включать бесплатные или низкобюджетные клиники, где можно пройти тестирование и получить лечение.
- Снижение стигмы: Работа над уменьшением стигмы, связанной с инфекциями, передающимися половым путем, может способствовать тому, что больше людей будут обращаться за медицинской помощью и проходить тестирование.
Таким образом, профилактика нейросифилиса требует комплексного подхода, включающего как индивидуальные, так и общественные меры. Эффективная профилактика может значительно снизить заболеваемость сифилисом и его последствиями для здоровья, включая серьезные неврологические осложнения.
Вопрос-ответ
Каковы первые признаки нейросифилиса?
Первые признаки нейросифилиса могут включать головные боли, изменения в настроении, проблемы с памятью, нарушения сна, а также симптомы, связанные с менингитом, такие как ригидность затылочных мышц и светобоязнь. В некоторых случаях могут наблюдаться неврологические расстройства, такие как судороги или изменения в координации движений.
Каковы последствия нейросифилиса?
Осложнения. При отсутствии надлежащего лечения у пациента продолжают нарастать патологические признаки разрушения мозга, нервных тканей и внутренних органов. Быстро наступает инвалидизация, в разы возрастает риск летального исхода.
Что происходит, когда сифилис поражает мозг?
Менинговаскулярный нейросифилис может привести к инсульту, когда бактерии вызывают воспаление стенок артерий. Это приводит к образованию тромбов в артериях и блокирует кровоток к мозгу. Эта форма нейросифилиса может развиться в течение первых нескольких месяцев или нескольких лет после заражения сифилисом.
Советы
СОВЕТ №1
Регулярно проходите медицинские обследования, особенно если у вас были случаи незащищенного секса или вы находитесь в группе риска. Раннее выявление сифилиса может предотвратить развитие нейросифилиса и его серьезные последствия.
СОВЕТ №2
Обратите внимание на любые изменения в вашем здоровье, такие как головные боли, изменения в поведении или когнитивные нарушения. Если вы заметили подобные симптомы, немедленно обратитесь к врачу для диагностики и лечения.
СОВЕТ №3
Изучите информацию о безопасных методах секса и используйте презервативы для снижения риска передачи инфекций, включая сифилис. Обсуждение сексуального здоровья с партнерами также может помочь в предотвращении инфекций.
СОВЕТ №4
Если вы уже получили диагноз сифилиса, строго следуйте рекомендациям врача и завершите курс лечения. Это поможет предотвратить дальнейшее развитие инфекции и защитит ваше здоровье в будущем.

