Артроз голеностопного сустава — распространенное заболевание, ухудшающее качество жизни и ограничивающее подвижность. В статье рассмотрим причины артроза, его симптомы, классификацию по видам и степеням, а также методы диагностики и лечения. Понимание особенностей заболевания и доступных терапевтических подходов поможет пациентам и их близким осознанно выбирать лечение и своевременно обращаться за медицинской помощью, что может замедлить прогрессирование болезни и улучшить общее состояние здоровья.
Причины артроза голеностопного сустава
Перед тем как перейти к основным факторам, способствующим развитию артроза голеностопного сустава, важно понять, что собой представляет данное заболевание. Артроз — это дегенеративно-дистрофическое расстройство хрящевой ткани, находящейся в области соединения костей. С примерно 30 лет начинается медленное разрушение хряща, при этом скорость этого процесса превышает скорость его восстановления. Поэтому заболевание, как правило, прогрессирует с возрастом.
При изучении причин возникновения артроза специалисты выделяют несколько факторов, которые мешают процессу восстановления хрящевой ткани компенсировать ее разрушение. К основным причинам артроза голеностопного сустава относятся:
- перенесенные травмы нижних конечностей;
- различные деформации голеностопного сустава, вызванные неправильным положением стопы или плоскостопием;
- наследственные заболевания, такие как коллагенопатии;
- дисплазия сустава;
- избыточный вес, который увеличивает нагрузку на суставы;
- постменопаузальный период;
- нарушения обмена веществ;
- перенесенные ортопедические операции.
Эксперты в области ортопедии и ревматологии подчеркивают, что подход к лечению артроза голеностопного сустава должен быть индивидуализированным и зависеть от типа и стадии заболевания. На ранних этапах, когда симптомы еще незначительны, рекомендуется консервативное лечение, включая физиотерапию, лечебную физкультуру и применение нестероидных противовоспалительных средств. При прогрессировании заболевания, когда возникают выраженные боли и ограничение подвижности, может потребоваться инъекционная терапия с использованием кортикостероидов или гиалуроновой кислоты. В случаях тяжелого артроза, когда консервативные методы не приносят облегчения, специалисты могут рекомендовать хирургическое вмешательство, такое как артроскопия или эндопротезирование. Важно, чтобы пациенты получали комплексный подход к лечению, включая изменение образа жизни и контроль веса, что также способствует улучшению состояния суставов.
https://youtube.com/watch?v=5HcJHGuybqU
Симптомы артроза голеностопного сустава
Артроз является хроническим дегенеративным заболеванием. Это подразумевает, что периоды обострения чередуются с ремиссиями. В моменты обострения пациенты сталкиваются с интенсивными болевыми ощущениями. Основные характеристики болевого синдрома можно описать следующим образом:
- боль, возникающая преимущественно в начале движения – наибольшая болезненность ощущается в первые моменты активности;
- усиление боли при физической нагрузке или длительной ходьбе;
- ночные ноющие боли, возникающие из-за венозного застоя;
- блокирующая боль – когда пациент не в состоянии нормально согнуть или разогнуть ногу, так как это приводит к резкому усилению боли (часть омертвевшего хряща может застревать между суставными поверхностями);
- наличие зависимости болевых ощущений от погодных условий.
| Вид артроза / Степень | Консервативное лечение | Хирургическое лечение |
|---|---|---|
| Первичный артроз | ||
| I степень (начальная) | * Медикаментозное: НПВС (кратковременно), хондропротекторы (длительно), витамины группы В. * Физиотерапия: УВЧ, магнитотерапия, лазеротерапия, электрофорез с лекарственными препаратами. * ЛФК: Упражнения на укрепление мышц голени и стопы, улучшение подвижности сустава. * Ортопедические приспособления: Ортезы, стельки-супинаторы. * Модификация образа жизни: Снижение нагрузки на сустав, контроль веса. | Редко, при неэффективности консервативного лечения и выраженном болевом синдроме: артроскопический дебридмент (удаление свободных тел, остеофитов). |
| II степень (умеренная) | * Медикаментозное: НПВС (курсами), внутрисуставные инъекции гиалуроновой кислоты, глюкокортикостероидов (при выраженном воспалении). * Физиотерапия: Ударно-волновая терапия, грязелечение, бальнеотерапия. * ЛФК: Индивидуально подобранные упражнения, направленные на сохранение объема движений и укрепление мышц. * Ортопедические приспособления: Более жесткие ортезы, трость при ходьбе. * Модификация образа жизни: Строгое ограничение нагрузок. | * Артроскопия: Удаление остеофитов, санация сустава. * Остеотомия: Коррекция оси конечности для перераспределения нагрузки. * Артродез (частичный): Фиксация отдельных суставов стопы для уменьшения боли. |
| III степень (выраженная) | * Медикаментозное: Анальгетики (включая опиоидные при сильной боли), НПВС (по показаниям), внутрисуставные инъекции (как паллиативная мера). * Физиотерапия: Симптоматическая, направленная на уменьшение боли и воспаления. * ЛФК: Поддерживающие упражнения, направленные на сохранение остаточной функции. * Ортопедические приспособления: Индивидуальные ортезы, ходунки, инвалидная коляска. | * Артродез: Полное обездвиживание голеностопного сустава для устранения боли. * Эндопротезирование голеностопного сустава: Замена поврежденного сустава искусственным (при наличии показаний и отсутствии противопоказаний). |
| Вторичный артроз | ||
| I степень (начальная) | * Лечение основного заболевания: Устранение причины артроза (например, коррекция плоскостопия, лечение воспалительных заболеваний). * Медикаментозное: НПВС, хондропротекторы. * Физиотерапия: Аналогично первичному артрозу I степени. * ЛФК: Аналогично первичному артрозу I степени. * Ортопедические приспособления: Аналогично первичному артрозу I степени. | Редко, при неэффективности консервативного лечения и выраженном болевом синдроме: артроскопический дебридмент. |
| II степень (умеренная) | * Лечение основного заболевания: Продолжение терапии основного заболевания. * Медикаментозное: НПВС, внутрисуставные инъекции. * Физиотерапия: Аналогично первичному артрозу II степени. * ЛФК: Аналогично первичному артрозу II степени. * Ортопедические приспособления: Аналогично первичному артрозу II степени. | * Артроскопия: Удаление остеофитов, санация сустава. * Остеотомия: Коррекция оси конечности. * Артродез (частичный). |
| III степень (выраженная) | * Лечение основного заболевания: Поддерживающая терапия. * Медикаментозное: Анальгетики, НПВС. * Физиотерапия: Симптоматическая. * ЛФК: Поддерживающие упражнения. * Ортопедические приспособления: Аналогично первичному артрозу III степени. | * Артродез. * Эндопротезирование голеностопного сустава. |
Интересные факты
Вот несколько интересных фактов о лечении артроза голеностопного сустава в зависимости от вида и степени заболевания:
-
Многообразие методов лечения: В зависимости от степени артроза (I, II или III) и его типа (первичный или вторичный) применяются различные подходы. На ранних стадиях заболевания часто достаточно консервативного лечения, включая физиотерапию, медикаменты и изменение образа жизни. На более поздних стадиях может потребоваться хирургическое вмешательство, такое как артроскопия или эндопротезирование.
-
Роль физической активности: Умеренные физические нагрузки, такие как плавание или езда на велосипеде, могут значительно улучшить состояние суставов при артрозе. Они помогают укрепить мышцы вокруг сустава, улучшить его подвижность и снизить болевые ощущения. Однако важно избегать высоких нагрузок, которые могут усугубить состояние.
-
Инновационные методы лечения: В последние годы активно развиваются методы регенеративной медицины, такие как инъекции стволовых клеток и гиалуроновой кислоты. Эти методы направлены на восстановление хрящевой ткани и замедление прогрессирования заболевания, что открывает новые перспективы для пациентов с артрозом голеностопного сустава.
https://youtube.com/watch?v=NyUBWMbllhY
Виды артроза голеностопного сустава
Для описания заболевания специалисты применяют различные классификации. При этом характер болевых ощущений при артрозе голеностопного сустава не является определяющим. Первый вариант классификации основывается на механизме возникновения патологии. В соответствии с этим критерием выделяют два типа артроза голеностопного сустава:
- Первичный – часто именуется идиопатическим, так как установить точную причину заболевания не представляется возможным даже после проведения аппаратных исследований.
- Вторичный – возникает в результате наличия определенного фактора, что делает заболевание следствием других патологий в опорно-двигательной системе.
Кроме того, врачи часто используют классификацию артроза в зависимости от причин его возникновения. Учитывая патогенетический аспект, выделяют следующие виды заболевания:
- Посттравматический – возникает как следствие перенесенных травм и повреждений голеностопного сустава;
- Деформирующий – развивается из-за нарушений обменных процессов, что приводит к постепенной деформации сустава;
- Метаболический – возникает на фоне других нарушений обмена веществ в организме, таких как сахарный диабет, гормональные расстройства или подагра.
Посттравматический артроз голеностопного сустава
Как следует из названия, эта форма болезни возникает вследствие полученных травм. Вывихи, переломы и растяжения мышц часто сопровождаются повреждением хрящевой ткани. Это, в свою очередь, приводит к нарушению целостности пластины, находящейся между суставными поверхностями. В процессе восстановления происходит сбой в ресинтезе этой анатомической структуры. В результате пациент сталкивается с развитием артроза. Симптомы заболевания включают болевые ощущения и ограничение подвижности.
https://youtube.com/watch?v=YQHbOz_fhkQ
Деформирующий артроз голеностопного сустава
При анализе потенциальных симптомов заболеваний специалисты часто сталкиваются с деформирующим типом патологии. Это дегенеративное расстройство, которое характеризуется стремительным разрушением хрящевой ткани суставов. В ходе этого процесса происходит изменение суставных поверхностей костей. Врачи отмечают, что ткани суставов начинают стареть раньше времени, что приводит к их хрупкости. В результате теряется способность к скольжению между соприкасающимися поверхностями сустава.
Степени артроза голеностопного сустава
В зависимости от стадии артроза голеностопного сустава можно выделить различные степени его поражения. Каждая из этих степеней имеет свои особенности дегенеративных изменений и объем поражения. При диагностике заболевания специалисты определяют одну из шести возможных степеней артроза голеностопного сустава, обращая внимание на характер изменений:
- 1 степень артроза – хрящ не поврежден, однако наблюдаются отеки и нарушения в матриксе. Эти изменения можно выявить только с помощью лабораторных исследований;
- 2 степень – характеризуется нарушением целостности поверхностного слоя хрящевой ткани;
- 3 степень – отмечается активное прогрессирование заболевания, что приводит к образованию вертикальных трещин;
- 4 степень – наблюдается отслоение верхнего слоя хряща, возможно формирование кист;
- 5 степень – происходит обнажение подлежащей кости, хрящевая ткань полностью отсутствует;
- 6 степень – фиксируются изменения в хрящевой ткани, проявляющиеся в ее уплотнении.
Диагностика артроза голеностопного сустава
Для того чтобы установить степень артроза в каждом конкретном случае, специалисты прибегают к дополнительным методам диагностики. Комплексный подход обеспечивает точное определение заболевания. Обследование начинается с ультразвукового исследования, которое позволяет оценить состояние хрящевой ткани, суставной капсулы и окружающих структур. Этот метод особенно эффективен для выявления патологий на ранних этапах. Если у пациента наблюдаются явные симптомы и клинические проявления артроза, то назначается рентгенографическое исследование.
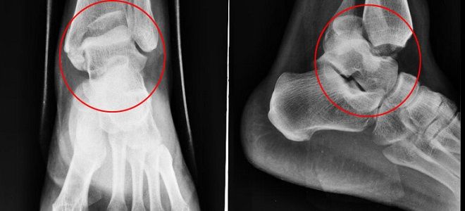
Рентген артроза голеностопного сустава
Эта методика занимает центральное место в процессе диагностики. Ее популярность объясняется легкостью доступа к рентгенологическим исследованиям. На рентгеновских снимках специалист имеет возможность проанализировать состояние суставной поверхности и костной ткани. В зависимости от выявленных изменений устанавливаются степени артроза голеностопного сустава. На основе степени изменений, а также объема и характера поражения, медицинские работники разрабатывают индивидуальные планы лечения.
Лечение артроза голеностопного сустава
На основе результатов обследований специалисты разрабатывают индивидуальный план лечения артроза голеностопного сустава. Терапия осуществляется с использованием консервативных методов. Раннее начало лечения способствует защите сустава от разрушительных изменений и позволяет избежать хирургического вмешательства. Комплексный подход к лечению включает в себя:
- занятия лечебной физкультурой, аквааэробикой и плаванием;
- контроль за весом;
- использование костылей для уменьшения нагрузки на суставы.
Мази при артрозе голеностопного сустава
Для устранения болезненных ощущений и предотвращения обострений применяются мази при артрозе голеностопного сустава. В этом случае используются препараты с противовоспалительными свойствами. Они помогают снять отечность, уменьшить покраснение и улучшить подвижность в суставе. Поскольку мази наносятся непосредственно на пораженный участок, эффект от их применения ощущается уже через 15-20 минут. В качестве лечебных средств часто применяются мази на основе диклофенака и индометацина. Вот несколько примеров таких препаратов:
- Индометацин;
- Вольтарен;
- Диклофенак;
- Артроксан;
- Випросан.
Уколы при артрозе голеностопного сустава
При наличии выраженных болей и ограничении подвижности рекомендуется проводить лечение артроза голеностопного сустава с помощью инъекций. Лекарственные препараты вводятся непосредственно в сустав, что обеспечивает быстрое облегчение и длительное отсутствие болевых ощущений. В качестве используемых средств выделяются следующие группы:
- глюкокортикостероиды – гормональные препараты, которые эффективно устраняют воспалительные процессы и болезненные симптомы;
- хондропротекторы – способствуют восстановлению хрящевой ткани, укреплению суставов и насыщению их питательными веществами, уменьшают боль и улучшают подвижность;
- гиалуроновая кислота – помогает поддерживать необходимый уровень синовиальной жидкости в тканях.
ЛФК при артрозе голеностопного сустава
Лечебная физкультура и гимнастика при артрозе голеностопного сустава могут быть рекомендованы в период, когда обострения отсутствуют. Упражнения, выполняемые пациентами, способствуют укреплению связок, а также улучшают питание и кровоснабжение тканей. Правильно подобранные и выполненные упражнения помогают ускорить восстановление хрящевой ткани. Врачи разрабатывают индивидуальные комплексы упражнений для каждого пациента. Для достижения положительного результата крайне важно строго следовать рекомендациям, предоставленным специалистом.
Операция на голеностопном суставе при артрозе
Когда медикаментозное лечение артроза голеностопного сустава оказывается неэффективным, врачи начинают рассматривать возможность хирургического вмешательства. Цель операции заключается в улучшении подвижности сустава, устранении болевых ощущений и восстановлении способности к передвижению. Однако перед тем, как приступить к операции, необходимо провести полное обследование пациента. Существуют определенные противопоказания для данного вмешательства:
- необратимые изменения сустава с выраженной деформацией костей стопы;
- острые воспалительные процессы в области предполагаемой операции;
- остеопороз в зоне голеностопного сустава;
- значительные нарушения кровообращения и иннервации оперируемой конечности;
- острые заболевания, перенесенные в недавнем прошлом.
Часто эти факторы становятся препятствием для проведения операции. В таких ситуациях пациентам приходится продолжать лечение артроза голеностопного сустава в домашних условиях. Многие из них вынуждены регулярно принимать медикаменты, проходить курсы массажа и заниматься лечебной физкультурой. Только комплексный подход к терапии позволяет поддерживать на должном уровне качество жизни людей с диагнозом артроз голеностопного сустава.
Профилактика артроза голеностопного сустава
Профилактика артроза голеностопного сустава играет ключевую роль в снижении риска развития этого заболевания и замедлении его прогрессирования. Основные аспекты профилактики включают в себя правильный образ жизни, физическую активность, а также внимание к состоянию суставов.
1. Поддержание нормального веса: Избыточная масса тела создает дополнительную нагрузку на голеностопные суставы, что может привести к их преждевременному износу. Снижение веса до нормальных значений помогает уменьшить давление на суставы и снизить риск развития артроза.
2. Регулярная физическая активность: Умеренные физические нагрузки способствуют укреплению мышц, окружающих сустав, и улучшению его подвижности. Рекомендуются упражнения на растяжку и укрепление, такие как плавание, йога и специальные комплексы для суставов. Однако важно избегать чрезмерных нагрузок и травм, которые могут усугубить состояние суставов.
3. Правильная обувь: Ношение удобной и подходящей по размеру обуви с хорошей амортизацией помогает снизить нагрузку на голеностопный сустав. Избегайте обуви на высоком каблуке или с жесткой подошвой, так как она может привести к неправильному распределению нагрузки и травмам.
4. Избегание травм: Травмы голеностопного сустава, такие как растяжения и вывихи, могут стать предшественниками артроза. Поэтому важно соблюдать осторожность при занятиях спортом и физической активности, а также использовать защитное снаряжение при необходимости.
5. Правильное питание: Сбалансированное питание, богатое витаминами и минералами, особенно кальцием и витамином D, способствует поддержанию здоровья суставов. Включение в рацион продуктов, содержащих омега-3 жирные кислоты (рыба, орехи), может помочь уменьшить воспаление и улучшить состояние суставов.
6. Регулярные медицинские осмотры: Профилактические осмотры у врача помогут выявить ранние признаки артроза и других заболеваний суставов. При наличии предрасполагающих факторов или первых симптомов рекомендуется обратиться к специалисту для получения рекомендаций по профилактике и лечению.
Следуя этим рекомендациям, можно значительно снизить риск развития артроза голеностопного сустава и сохранить его функциональность на долгие годы.
Вопрос-ответ
Чем лечат артроз голеностопного сустава?
Лечение артроза направлено на купирование болевого синдрома и улучшение функционирования сустава. Как правило, используют следующие нехирургические методы лечения: пероральные НПВП, ортез для лодыжки, магнитотерапия, ЛФК. Если эти методы не помогают, используют хирургические.
Какое лечение лучше всего подходит при артрите голеностопного сустава?
С помощью целенаправленных упражнений по лечебной физкультуре мы часто можем восстановить силу и гибкость голеностопного сустава, улучшить кровообращение, а также уменьшить воспаление и боль. Мы также можем порекомендовать внутрисуставные инъекции для доставки противовоспалительных препаратов непосредственно в голеностопный сустав.
Как понять, какой степени артроз?
Степень артроза можно определить на основе клинических симптомов и рентгенологических исследований. Обычно выделяют четыре степени: первая характеризуется легким дискомфортом и незначительными изменениями на рентгене, вторая — умеренной болью и начальной деформацией суставов, третья — выраженной болью, ограничением подвижности и значительными изменениями на рентгене, а четвертая — сильной болью, полной утратой функции сустава и выраженными деформациями. Для точной диагностики рекомендуется обратиться к врачу.
Советы
СОВЕТ №1
Перед началом лечения артроза голеностопного сустава обязательно проконсультируйтесь с врачом. Правильная диагностика и определение степени заболевания помогут выбрать наиболее эффективные методы терапии.
СОВЕТ №2
Регулярно выполняйте рекомендованные упражнения для укрепления мышц и улучшения подвижности сустава. Физиотерапия и специальные комплексы упражнений могут значительно облегчить симптомы и замедлить прогрессирование заболевания.
СОВЕТ №3
Обратите внимание на свой рацион. Употребление продуктов, богатых омега-3 жирными кислотами, витаминами и минералами, может помочь уменьшить воспаление и поддержать здоровье суставов. Рассмотрите возможность добавления в рацион рыбы, орехов и свежих овощей.
СОВЕТ №4
Не забывайте о важности контроля веса. Избыточная масса тела создает дополнительную нагрузку на голеностопный сустав, что может усугубить симптомы артроза. Поддержание здорового веса поможет снизить риск обострений и улучшить общее состояние суставов.

