Фиброз легких – серьезное заболевание, при котором нормальная легочная ткань заменяется соединительной, что ухудшает функцию дыхания. Пациенты часто испытывают страх и неуверенность, не понимая природу болезни, ее проявления и степень опасности. В статье рассмотрим легочный фиброз, его симптомы, методы диагностики и лечения, а также влияние на продолжительность жизни. Эта информация поможет читателям лучше понять свое состояние, обратиться за медицинской помощью и принимать обоснованные решения о лечении.
Фиброз легких – что это такое?
Часто задаваемые вопросы пациентов, впервые столкнувшихся с фиброзом легких, включают: что это такое, насколько это опасно и какие проявления? Фиброзом называют процесс, при котором здоровая ткань внутренних органов заменяется фиброзной или рубцовой тканью. Эта ткань, представляющая собой соединительную, обладает способностью к быстрому разрастанию. В результате, всего за короткий промежуток времени она может захватить весь орган, нарушая его нормальное функционирование.
При наличии фиброза легких наблюдается значительное снижение эластичности и растяжимости легочной ткани. Это затрудняет процесс обмена кислорода и углекислого газа через стенки альвеол. В результате нарушается газообмен: кровь не получает достаточного количества кислорода, а уровень углекислого газа в организме повышается, что может привести к хронической гипоксии.
Фиброз легких представляет собой серьезное заболевание, характеризующееся замещением нормальной легочной ткани соединительной. Эксперты подчеркивают, что это может привести к ухудшению функции дыхания и снижению качества жизни пациента. Основные причины фиброза включают длительное воздействие токсичных веществ, инфекционные заболевания и аутоиммунные расстройства.
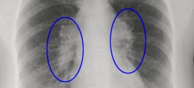
Выявление заболевания часто требует комплексного подхода, включая рентгенографию, компьютерную томографию и функциональные тесты легких. Важно отметить, что ранняя диагностика играет ключевую роль в успешном лечении.
Лечение фиброза легких может включать медикаментозную терапию, направленную на замедление прогрессирования заболевания, а в тяжелых случаях — трансплантацию легких. Эксперты рекомендуют пациентам избегать факторов риска и регулярно проходить медицинские обследования для мониторинга состояния легких.
https://youtube.com/watch?v=YB3JFi2VKj0
Виды фиброза легких
После того как мы разобрались с понятием фиброза легких и его характеристиками, стоит обратить внимание на возможные разновидности этого заболевания. При диагностике данной патологии врачи всегда проводят комплексные исследования, направленные на выявление причин недуга. В зависимости от установленных факторов, выделяют следующие типы заболевания:
- Идиопатический легочный фиброз – ставится диагноз, когда конкретная причина не может быть определена.
- Интерстициальный легочный фиброз – устанавливается, если выявлен фактор, вызвавший развитие патологии.
В зависимости от степени поражения легочной ткани:
- линейный фиброз легких – затрагиваются небольшие участки ткани;
- очаговый фиброз – вовлечен в процесс небольшой участок, таких участков может быть несколько;
- диффузный фиброз легких – повреждается значительная часть органа.
| Аспект | Описание | Важность |
|---|---|---|
| Что такое фиброз легких? | Хроническое прогрессирующее заболевание, при котором нормальная легочная ткань замещается рубцовой (фиброзной). Это приводит к утолщению и уплотнению стенок альвеол, нарушению газообмена и снижению эластичности легких. | Понимание сути заболевания необходимо для осознания его последствий и выбора тактики лечения. |
| Чем опасно заболевание? | 1. Дыхательная недостаточность: Снижение способности легких насыщать кровь кислородом, что приводит к одышке, усталости, цианозу. 2. Легочная гипертензия: Повышение давления в легочной артерии, что создает дополнительную нагрузку на сердце. 3. Сердечная недостаточность: Вследствие легочной гипертензии сердце вынуждено работать с большей нагрузкой, что может привести к его истощению. 4. Снижение качества жизни: Ограничение физической активности, постоянная одышка, зависимость от кислородной терапии. 5. Летальный исход: В тяжелых случаях фиброз легких может привести к смерти. |
Осознание серьезности рисков мотивирует к своевременной диагностике и лечению, а также к изменению образа жизни. |
| Как выявить фиброз легких? | 1. Сбор анамнеза и физикальный осмотр: Выявление характерных симптомов (одышка, кашель, «пальцы Гиппократа»), аускультация легких (крепитация). 2. Функциональные легочные тесты (ФЛТ): Спирометрия, бодиплетизмография, диффузионная способность легких (DLCO) – позволяют оценить объем легких и эффективность газообмена. 3. Рентгенография грудной клетки: Может выявить изменения в легких, но не всегда специфична. 4. Компьютерная томография высокого разрешения (КТВР) легких: «Золотой стандарт» диагностики, позволяет детально рассмотреть изменения в легочной ткани, определить тип и распространенность фиброза. 5. Бронхоскопия с биопсией легкого: В некоторых случаях может потребоваться для получения образца ткани для гистологического исследования и подтверждения диагноза. 6. Анализы крови: Могут выявить маркеры воспаления или аутоиммунных заболеваний, которые могут быть связаны с фиброзом. |
Ранняя и точная диагностика критически важна для начала своевременного лечения и замедления прогрессирования заболевания. |
| Как лечить фиброз легких? | 1. Антифибротические препараты: Пирфенидон, нинтеданиб – замедляют прогрессирование фиброза, улучшают функцию легких и качество жизни. 2. Кислородная терапия: Применяется при выраженной дыхательной недостаточности для поддержания адекватного уровня кислорода в крови. 3. Легочная реабилитация: Комплекс упражнений и мероприятий, направленных на улучшение физической выносливости, дыхательной функции и качества жизни. 4. Симптоматическая терапия: Лечение кашля, одышки, сопутствующих заболеваний. 5. Трансплантация легких: Рассматривается как вариант лечения для пациентов с тяжелым прогрессирующим фиброзом, не отвечающим на другие методы терапии. 6. Отказ от курения и избегание вредных факторов: Важно для замедления прогрессирования заболевания. |
Лечение направлено на замедление прогрессирования заболевания, улучшение симптомов и качества жизни, а также продление жизни пациента. |
Интересные факты
Вот несколько интересных фактов о фиброзе легких:
-
Необратимость процесса: Фиброз легких представляет собой замещение нормальной легочной ткани соединительной тканью, что приводит к утрате эластичности легких. Этот процесс необратим, и хотя лечение может замедлить прогрессирование заболевания, полностью восстановить легочную функцию невозможно.
-
Разнообразие причин: Фиброз легких может быть вызван различными факторами, включая длительное воздействие токсичных веществ (например, асбеста или кремния), хронические воспалительные заболевания (такие как саркоидоз), а также некоторые лекарственные препараты. В некоторых случаях причина остается неизвестной, что называется идиопатическим легочным фиброзом.
-
Современные методы диагностики: Для выявления фиброза легких используются различные методы, включая компьютерную томографию (КТ) грудной клетки, которая позволяет детально визуализировать изменения в легочной ткани. Также могут применяться функциональные тесты легких для оценки их работы и уровня кислорода в крови. Ранняя диагностика важна для начала лечения и замедления прогрессирования заболевания.
Фиброз легких – причины
Причины фиброза легких тесно связаны с воспалительными процессами, происходящими в альвеолах и интерстициальных тканях. В большинстве случаев именно они становятся катализаторами для развития этого заболевания.
Среди возможных причин возникновения фиброза легких эксперты выделяют:
- наследственные факторы (наличие заболеваний легких у близких родственников увеличивает вероятность фиброза);
- осложнения, возникающие на фоне легочных заболеваний (асбестоз, альвеолит, саркоидоз);
- длительное воздействие на организм частиц органических веществ и минералов (например, работа на химических производствах);
- радиоактивное облучение области грудной клетки;
- осложненное течение таких заболеваний, как сахарный диабет, ревматоидный артрит и красная системная волчанка;
- курение.
В группу риска по развитию фиброза легочной ткани входят:
- люди старше 50 лет;
- жители, проживающие вблизи промышленных объектов;
- курильщики;
- работники производств с вредными условиями труда.
Чем опасен фиброз легких?
Затяжное отсутствие лечения способствует стремительному ухудшению состояния здоровья. С течением времени вероятность возникновения серьезных осложнений, угрожающих жизни, возрастает.
По словам экспертов, легочный фиброз может вызывать следующие заболевания:
- эмфизему легких;
- нарушения в легочном кровообращении;
- сердечную недостаточность;
- легочную гипертонию.
Фиброз легких – симптомы
На начальных стадиях заболевания признаки легочного фиброза могут отсутствовать полностью. Тем не менее, в этот период болезнь стремительно развивается. Одним из первых симптомов, который может проявиться, является одышка. Сначала она возникает только при физической активности, такой как подъем по лестнице или длительная прогулка, но вскоре начинает беспокоить пациента даже в состоянии покоя.
О фиброзе легких многие начинают узнавать только тогда, когда к симптомам присоединяется сухой кашель. При этом в откашливаемой мокроте можно обнаружить слизь.
Если есть подозрения на легочный фиброз, возможные симптомы могут включать:
- постоянные боли в грудной клетке;
- хрипы, слышимые при дыхании;
- посинение губ (цианоз);
- потерю веса;
- увеличение размеров пальцев рук;
- снижение общей работоспособности;
- повышенную утомляемость.
Фиброз легких – лечение
Услышав о возможном фиброзе легких, многие начинают паниковать, не понимая, что это за заболевание. Для подтверждения диагноза и выяснения, действительно ли у пациента фиброз легких, врачи проводят комплексное обследование.
Клинические проявления этого заболевания могут напоминать симптомы других заболеваний дыхательной системы, поэтому для точной диагностики назначаются следующие исследования:
- рентгенография грудной клетки;
- компьютерная томография легких;
- магнитно-резонансная томография дыхательных путей;
- биопсия легкого;
- функциональные тесты дыхания.
Только после установления диагноза специалисты приступают к лечению. Важно отметить, что полностью устранить фиброзные изменения с помощью медикаментов невозможно, поэтому основное внимание врачей сосредоточено на ограничении зоны поражения и предотвращении ее дальнейшего распространения. Этот подход называется симптоматической терапией.
Фиброз легких – клинические рекомендации
Лечение легочного фиброза требует персонализированного подхода. Врач, который назначает терапию, сначала внимательно анализирует медицинскую историю пациента и выявляет наличие хронических воспалительных процессов в организме. Только при таком подходе можно достичь положительных результатов и замедлить развитие заболевания.
В большинстве случаев, объясняя пациентам, что такое фиброз легких, специалисты следуют следующим клиническим рекомендациям:
- лечение заболеваний, которые стали причиной фиброза;
- подавление участков фиброзных изменений;
- выполнение дыхательной гимнастики, направленной на улучшение функции дыхания.
Фиброз легких – препараты
Лечение фиброза легочной ткани включает в себя применение следующих групп медикаментов:
- Системные глюкокортикоиды – такие как Преднизолон и Дексаметазон. Эти препараты способствуют улучшению общего состояния пациента. Исследования показывают, что лекарства из этой категории могут замедлять процесс замещения легочной ткани соединительной.
- Цитостатики – например, Азатиоприн и Циклофосфамид. Эти средства активно препятствуют делению клеток и превращению ткани в фиброзную.
Использование цитостатиков требует особой осторожности и должно осуществляться строго по назначению врача. Эти препараты могут вызывать побочные эффекты, такие как:
- нарушения работы половых желез;
- подавление кроветворения;
- токсическое воздействие на печень.
Фиброз легких – лечение народными средствами
Лечение легочного фиброза с помощью народных средств часто рассматривается как полезное дополнение к основному лечению. Существует множество рецептов, которые могут помочь облегчить симптомы и проявления этого заболевания. Однако, прежде чем использовать какие-либо народные средства, важно проконсультироваться с врачом, чтобы избежать возможного вреда для здоровья. Вот несколько популярных рецептов для борьбы с фиброзом.
Отвар из шиповника и девясила
Ингредиенты:
- ягоды шиповника – 50 г;
- корень девясила – 50 г;
- вода – 1 л.
Приготовление и применение
- Смешайте все ингредиенты и залейте их водой.
- Поставьте на медленный огонь.
- Доведите до кипения и варите в течение 15 минут.
- Перелейте отвар в термос и дайте настояться 3 часа.
- Принимайте по 100 мл трижды в день на протяжении 1–2 месяцев.
Отвар из анисовых семян
Ингредиенты:
- анисовые семена – 1 столовая ложка;
- вода – 200 мл.
Приготовление и применение
- Залейте семена холодной водой и поставьте на огонь.
- Доведите до кипения и снимите с плиты.
- Принимайте по половине стакана один раз в день.
Дыхательная гимнастика при фиброзе легких
Заболевание легких, известное как фиброз, всегда приводит к нарушениям в дыхательном процессе. Это негативно влияет на общее состояние пациента и функционирование внутренних органов. Для восстановления нормального дыхания специалисты советуют регулярно заниматься дыхательной гимнастикой, подбирая упражнения индивидуально.
В период обострения фиброза и при наличии одышки врачи рекомендуют следующие действия:
- Сделать глубокий вдох, максимально наполнив легкие воздухом, и задержать дыхание на 5 секунд. При этом следует крепко сжать зубы и не раздувать щеки. Первую порцию воздуха необходимо резко выдохнуть, а затем постепенно освободить оставшийся воздух.
- Заниматься свободным дыханием во время быстрой ходьбы или легкого бега, избегая при этом чрезмерной усталости.
Для улучшения общего состояния здоровья врачи советуют практиковать различные техники дыхания:
- брюшное дыхание – при вдохе живот выпячивается, а при выдохе сжимается;
- грудинное дыхание – в процессе дыхания участвует только грудная клетка, живот остается неподвижным;
- полное дыхание – вдох осуществляется за счет мышц живота, а выдох производится с помощью грудной клетки.
https://youtube.com/watch?v=nvXaOfcnuhk
Диссипация легких при кистозном фиброзе
Фиброз легочной ткани без адекватной терапии быстро прогрессирует. В результате замещения легочной ткани фиброзной происходит значительное ухудшение дыхательной функции. Одышка становится постоянной и зачастую достигает такой степени, что пациенту требуется искусственная вентиляция легких. Это довольно распространенное явление, когда фиброз развивается диффузно, постепенно затрагивая весь орган.
Питание при фиброзе легких
Пациенты с фиброзом легких требуют особого подхода к питанию. Чтобы избежать проблем с пищеварением, которые могут ухудшить состояние, врачи советуют избегать ситуаций, когда возникает чувство голода. Тем не менее, это не означает, что в рацион можно включать любые продукты.
Среди разрешенных при фиброзе продуктов:
- перетертые каши (овсяная, гречневая, пшенная);
- бездрожжевые хлебобулочные изделия;
- крахмалистые овощи (картофель, свекла, тыква);
- капуста;
- сухофрукты;
- нежирное мясо;
- морская рыба;
- молочные продукты (обезжиренные);
- растительные масла.
Во время лечения фиброза легких следует исключить из рациона следующие продукты:
- перловая каша;
- колбасы и копчености;
- консервы;
- полуфабрикаты;
- сдоба;
- жирное мясо и рыба;
- маргарин;
- сливочное масло.
Фиброз легких – продолжительность жизни
Пациенты с фиброзом легких, как правило, живут меньше. Это во многом связано с тем, насколько рано была выявлена болезнь и насколько эффективно проводится поддерживающее лечение. Тем, кто находится в группе повышенного риска, может быть рекомендована трансплантация легких. Эта операция способна продлить жизнь больных на 5–10 лет. Однако стоит отметить, что даже после трансплантации существует вероятность рецидива заболевания, если причина патологии не была установлена.
https://youtube.com/watch?v=keLl-0usLw8
Фиброз легких – профилактика заболевания
Профилактика фиброза легких включает в себя комплекс мер, направленных на снижение риска развития этого заболевания и поддержание здоровья органов дыхания. Основные аспекты профилактики можно разделить на несколько ключевых направлений.
Избегание вредных факторов
Первым шагом к профилактике фиброза легких является минимизация воздействия вредных факторов окружающей среды. Это включает в себя:
- Отказ от курения: Курение является одним из основных факторов риска развития заболеваний легких, включая фиброз. Отказ от табака значительно снижает вероятность возникновения патологий.
- Защита от загрязненного воздуха: Избегайте пребывания в местах с высоким уровнем загрязнения, особенно в промышленных зонах. Используйте маски или респираторы при работе с токсичными веществами.
- Контроль за аллергенами: Если у вас есть аллергия на пыль, плесень или другие вещества, старайтесь минимизировать контакт с ними.
Здоровый образ жизни
Поддержание здорового образа жизни также играет важную роль в профилактике фиброза легких:
- Правильное питание: Сбалансированное питание, богатое витаминами и минералами, способствует укреплению иммунной системы и улучшению общего состояния организма.
- Регулярная физическая активность: Умеренные физические нагрузки помогают улучшить функцию легких и общее состояние сердечно-сосудистой системы.
- Поддержание нормального веса: Избыточный вес может негативно сказаться на здоровье легких, поэтому важно следить за своим весом.
Регулярные медицинские осмотры
Профилактика фиброза легких также включает в себя регулярные медицинские осмотры, особенно для людей, находящихся в группе риска. Это может быть:
- Проверка легочной функции: Специальные тесты, такие как спирометрия, помогут оценить состояние легких и выявить возможные отклонения на ранних стадиях.
- Рентгенография и КТ легких: Эти методы визуализации могут помочь в раннем выявлении изменений в легочной ткани.
- Консультации с врачом: Регулярные визиты к пульмонологу помогут контролировать состояние легких и своевременно выявлять возможные проблемы.
Образование и осведомленность
Образование и осведомленность о фиброзе легких и его факторах риска также являются важными аспектами профилактики. Знание симптомов и признаков заболевания поможет людям своевременно обратиться за медицинской помощью.
В заключение, профилактика фиброза легких требует комплексного подхода, включающего в себя избегание вредных факторов, ведение здорового образа жизни, регулярные медицинские осмотры и повышение осведомленности о заболевании. Эти меры помогут снизить риск развития фиброза и сохранить здоровье легких на долгие годы.
Вопрос-ответ
Что такое фиброз легких и как он развивается?
Фиброз легких – это заболевание, при котором происходит замещение нормальной легочной ткани соединительной тканью, что приводит к утрате эластичности легких и ухудшению их функции. Развитие фиброза может быть вызвано различными факторами, такими как длительное воздействие токсичных веществ, хронические воспалительные процессы или аутоиммунные заболевания.
Какие симптомы могут указывать на наличие фиброза легких?
Симптомы фиброза легких могут включать одышку, особенно при физической нагрузке, хронический кашель, утомляемость и потерю веса. На ранних стадиях заболевание может протекать бессимптомно, поэтому важно проходить регулярные медицинские осмотры.
Как диагностируется фиброз легких и какие методы лечения существуют?
Диагностика фиброза легких включает рентгенографию грудной клетки, компьютерную томографию и функциональные тесты легких. Лечение может варьироваться от применения противовоспалительных препаратов и кислородной терапии до более серьезных методов, таких как легочная трансплантация в тяжелых случаях.
Советы
СОВЕТ №1
Регулярно проходите медицинские обследования, особенно если у вас есть предрасположенность к заболеваниям легких или вы работаете в условиях, способствующих их повреждению. Раннее выявление фиброза легких может значительно улучшить прогноз и качество жизни.
СОВЕТ №2
Обратите внимание на симптомы, такие как постоянный кашель, одышка и усталость. Если вы заметили их у себя или близких, не откладывайте визит к врачу. Чем раньше начнется диагностика, тем больше шансов на успешное лечение.
СОВЕТ №3
Изучите методы лечения фиброза легких, включая медикаментозную терапию и реабилитацию. Консультируйтесь с врачом о возможностях, которые могут помочь улучшить ваше состояние и качество жизни, включая дыхательную гимнастику и физиотерапию.
СОВЕТ №4
Соблюдайте здоровый образ жизни: откажитесь от курения, следите за питанием и занимайтесь физической активностью. Это поможет укрепить легкие и общее состояние здоровья, что может замедлить прогрессирование заболевания.


