Киста шишковидной железы головного мозга, или киста эпифиза, — это доброкачественное образование, способное вызывать симптомы и осложнения, несмотря на отсутствие онкологической природы. В статье рассмотрим основные проявления, методы диагностики и лечения, а также возможные последствия для здоровья. Понимание особенностей кисты шишковидной железы поможет своевременно обратиться к врачу и выбрать оптимальную стратегию лечения, что улучшит качество жизни пациента.
Что такое киста шишковидной железы в голове?
Киста шишковидной железы головного мозга представляет собой полостное образование, заполненное жидкостью, которое образуется в одной из долей этого органа. Шишковидная железа — это небольшой непарный эндокринный орган, расположенный между полушариями мозга, в области межталамического сращения.
К основным функциям шишковидной железы можно отнести:
- снижение выработки гормона роста;
- контроль за процессом полового созревания;
- влияние на половое поведение;
- замедление роста опухолей.
Киста шишковидной железы головного мозга, хотя и считается доброкачественной опухолью, может представлять определенные риски для здоровья. Эксперты отмечают, что такие образования могут вызывать различные неврологические симптомы, включая головные боли, нарушения сна и изменения в гормональном фоне. В зависимости от размера кисты и её расположения, возможны компрессия соседних структур и нарушение их функции. Это может привести к проблемам с зрением, координацией и даже к психоэмоциональным расстройствам. Важно, чтобы пациенты проходили регулярные обследования и находились под наблюдением специалистов, чтобы своевременно выявлять изменения в состоянии и принимать необходимые меры. Ранняя диагностика и адекватное лечение могут значительно снизить риск осложнений и улучшить качество жизни.
https://youtube.com/watch?v=l_a1rmCCSNM
Киста шишковидной железы – причины
На сегодняшний день врачам не удалось окончательно определить причины, способствующие образованию кисты шишковидной железы. Тем не менее, существуют две основные теории, которые объясняют, как и почему возникает киста эпифиза:
- Закупорка выводного канала железы. При данной патологии нарушается нормальный отток мелатонина, вырабатываемого органом. В результате секрет начинает накапливаться, что приводит к образованию кисты.
- Инфекция шишковидной железы эхинококком (эхинококкоз). Поражение органа происходит, когда паразит попадает в кровь. Эхинококк образует капсулу, которая со временем становится стенкой кисты. Образовавшаяся полость заполняется жидкостью, представляющей собой продукты жизнедеятельности бактерий. Постепенно шишковидная железа увеличивается в размере, и киста растет вместе с ней.
Интересные факты
Вот несколько интересных фактов о кистах шишковидной железы и их влиянии на здоровье:
-
Гормональный дисбаланс: Шишковидная железа (эпифиз) отвечает за выработку мелатонина, гормона, регулирующего цикл сна и бодрствования. Киста в этой области может нарушить выработку мелатонина, что может привести к проблемам со сном, депрессии и другим расстройствам.
-
Редкость и диагностика: Кисты шишковидной железы встречаются довольно редко и часто являются случайной находкой при проведении МРТ или КТ головного мозга. Многие люди могут жить с кистой, не подозревая о ее наличии, так как она может не вызывать никаких симптомов.
-
Потенциальные осложнения: Хотя кисты шишковидной железы обычно являются доброкачественными, в редких случаях они могут вызывать давление на окружающие структуры мозга, что может привести к головным болям, нарушениям зрения или другим неврологическим симптомам. В таких случаях может потребоваться медицинское вмешательство.
https://youtube.com/watch?v=5EA-yvykUsM
Чем грозит киста шишковидной железы?
Основным осложнением, которое может возникнуть из-за кисты эпифиза головного мозга, является гидроцефалия, или водянка мозга. Это состояние развивается в результате накопления цереброспинальной жидкости в желудочках головного мозга. Важно отметить, что в большинстве случаев кисты не проявляют активной динамики.
Это означает, что их присутствие не влияет на функционирование головного мозга. За состоянием пациента осуществляется регулярный мониторинг. С определенной периодичностью проводится магнитно-резонансная томография для оценки размеров кисты и ее расположения. Киста пинеальной железы головного мозга находится под постоянным наблюдением, целью которого является предотвращение дальнейшего роста образования.
Киста шишковидной железы – симптомы
Многие пациенты даже не подозревают о наличии кисты шишковидной железы головного мозга до момента обследования, так как симптомы этого заболевания часто не имеют четкой специфики. Основной жалобой людей с таким диагнозом являются неожиданные головные боли, которые не связаны с другими факторами, такими как повышение артериального давления, стресс или переутомление.
К числу других возможных симптомов этого заболевания можно отнести:
- Проблемы со зрением: размытость изображения или двоение в глазах.
- Нарушения координации движений, проявляющиеся в виде неустойчивой походки.
- Тошнота и рвота, возникающие на фоне сильных головных болей.
- Гидроцефалия, которая развивается из-за сжатия протока железы и затруднения оттока спинномозговой жидкости.
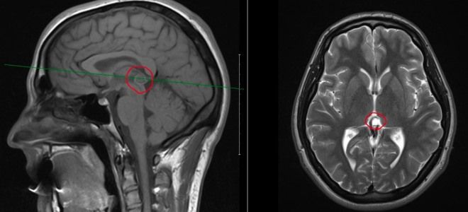
Киста шишковидной железы – МРТ
Крупные кистозные образования с необычной формой трудно отличить от опухолей, поэтому пациенты с такими проявлениями должны находиться под постоянным наблюдением. При диагностике врач всегда учитывает магнитно-резонансные признаки мелкой кисты шишковидной железы, которые служат подтверждением.
На экране МРТ данное образование выглядит как однокамерная структура с жидкостным содержимым, обладающая плотностью, аналогичной ликвору, или с такой же интенсивностью сигнала, как спинномозговая жидкость. Для большинства кист характерно наличие кальцинатов – солей, которые образуют ободок вокруг образования (это наблюдается в 25% случаев).
Киста шишковидной железы головного мозга – лечение
В большинстве случаев не прогрессирующая киста пинеальной железы не требует медицинского вмешательства. Специалисты осуществляют индивидуальный мониторинг состояния пациентов, чтобы исключить возможные осложнения и ухудшение здоровья. Тем не менее, в некоторых случаях даже магнитно-резонансная томография не предоставляет ясной информации о характере кисты.
Для подтверждения диагноза кисты шишковидной железы перед составлением плана лечения назначаются:
- биопсия;
- лабораторное исследование образца ткани.
Таким образом, врачи проводят дифференциальную диагностику для исключения опухолей головного мозга. В зависимости от размеров образования и общего состояния пациента, медицинские специалисты разрабатывают персонализированный план лечения. Чаще всего он включает хирургическое вмешательство и последующее восстановление здоровья пациента.
Киста шишковидной железы – лечение, препараты
Медикаментозное лечение возможно только в том случае, если была выявлена небольшая киста эпифиза, вызванная эхинококком, и это произошло на ранней стадии заболевания. Лечебная схема и дозировка препаратов подбираются индивидуально для каждого пациента. В качестве основного средства используется Албендазол. Тем не менее, в большинстве случаев добиться устойчивого терапевтического результата не удается. Поэтому врачи чаще всего обращаются к хирургическим методам, полностью удаляя кисту.
К основным показаниям для проведения операции относятся:
- Явные симптомы (постоянные головные боли, ухудшение общего состояния, нарушения в работе мозга).
- Увеличенный риск развития гидроцефалии.
- Негативное воздействие кисты на функционирование сердечно-сосудистой системы.
Рассасывается ли киста шишковидной железы?
Пациенты с данным диагнозом часто интересуются, возможно ли самостоятельное рассасывание кисты эпифиза. Специалисты утверждают, что это образование не поддается обратному развитию.
Даже небольшая киста шишковидной железы головного мозга не уменьшается и не исчезает без соответствующего лечения.
Тем не менее, наличие кисты зачастую не влияет на функционирование головного мозга и общее состояние пациента. Поэтому врачи предпочитают выжидательную тактику, внимательно наблюдая за кистой и оценивая ее размеры и динамику. Если образование начинает быстро расти или ухудшается клиническая картина, принимается решение о необходимости хирургического вмешательства.
Удаление кисты шишковидной железы
Маленькая киста шишковидной железы, как правило, не требует хирургического вмешательства. Однако если заболевание начинает прогрессировать, может потребоваться операция. Это довольно сложная нейрохирургическая процедура, которая требует высокой квалификации и значительного опыта врача. Основная трудность заключается в том, что киста расположена в труднодоступной зоне, рядом с головным мозгом.
Тем не менее, благодаря современным методам нейровизуализации, специалистам удается тщательно спланировать операцию, учитывая каждую секунду. Метод удаления кисты шишковидной железы выбирается хирургом в зависимости от конкретной ситуации.
Чаще всего применяются следующие методы:
- шунтирующая вентрикулоцистерностомия;
- вентрикулоперинеостомия.
Способы удаления кисты шишковидной железы
Методика проведения операции определяется заранее. В зависимости от используемой техники и способа удаления кисты выделяют несколько типов хирургического вмешательства:
- Шунтирование – это процесс, при котором в железу устанавливается искусственный сосуд, обеспечивающий отток накопившейся жидкости.
- Эндоскопия – при этом методе жидкость из полости удаляется с помощью эндоскопа, после чего стенки кисты сжимаются. Восстановление оттока осуществляется через дренаж.
- Трепанация – применяется в сложных случаях, когда опухоль прогрессирует или стенки кисты перерождаются в злокачественные ткани. Этот метод включает удаление кисты шишковидной железы с использованием гамма-ножа и сопряжен с высоким риском травм и неврологических нарушений.
https://youtube.com/watch?v=JUSC9MFJPyM
Прогноз и долгосрочные последствия кисты шишковидной железы
Киста шишковидной железы, или эпифиза, представляет собой доброкачественное образование, которое может возникать в результате различных факторов, включая генетические предрасположенности, воспалительные процессы или травмы. Несмотря на свою доброкачественную природу, наличие кисты может вызывать определенные последствия для здоровья, особенно если она достигает значительных размеров или начинает оказывать давление на окружающие структуры мозга.
Прогноз для пациентов с кистой шишковидной железы в большинстве случаев благоприятный. Многие люди не испытывают никаких симптомов и могут даже не подозревать о наличии кисты. Однако в некоторых случаях киста может приводить к различным неврологическим симптомам, таким как головные боли, нарушения сна, изменения в гормональном фоне и даже проблемы с зрением. Эти симптомы возникают из-за давления кисты на соседние участки мозга или нарушения нормального функционирования шишковидной железы, которая отвечает за выработку мелатонина и регуляцию биоритмов.
Долгосрочные последствия наличия кисты могут варьироваться в зависимости от ее размера, расположения и скорости роста. У небольших кист, которые не вызывают симптомов, наблюдается минимальный риск осложнений. Однако если киста начинает увеличиваться, это может привести к более серьезным последствиям, таким как гидроцефалия (скопление жидкости в полостях мозга), что требует медицинского вмешательства.
Важно отметить, что регулярное наблюдение и контроль за состоянием кисты являются ключевыми аспектами управления этим заболеванием. Врач может рекомендовать периодические МРТ для отслеживания изменений в размере кисты и оценки ее влияния на окружающие структуры. В случае появления симптомов или значительного увеличения кисты может потребоваться хирургическое вмешательство, такое как эндоскопическая резекция, что позволяет устранить образование и минимизировать риск осложнений.
Таким образом, хотя киста шишковидной железы головного мозга чаще всего является доброкачественной и не представляет серьезной угрозы для жизни, важно быть внимательным к своему состоянию и своевременно обращаться за медицинской помощью при появлении тревожных симптомов. Своевременная диагностика и адекватное лечение могут существенно улучшить качество жизни пациента и снизить риск долгосрочных негативных последствий.
Вопрос-ответ
Чем опасна доброкачественная опухоль гипофиза?
Из-за длительного отсутствия каких-либо симптомов аденома гипофиза может вызвать серьезные эндокринные проблемы: гиперпролактинемию, ожирение, синдром Кушинга. Из-за этой доброкачественной опухоли подавляется синтез гормонов в гипофизе, что нарушает всю эндокринную систему.
Может ли киста шишковидной железы повлиять на гипофиз?
Наши данные не выявили четкой, общепринятой связи между кистами шишковидной железы и гипофиза.
Какая доброкачественная опухоль развивается из клеток шишковидной железы?
Пинеоцитома – доброкачественная опухоль, развивающаяся из клеток шишковидной железы – пинеалоцитов. Шишковидное тело (эпифиз) играет важную роль в циркадных ритмах, сне и бодрствовании, половом созревании, изменении активности организма в зависимости от времени года.
Какие бывают доброкачественные опухоли головного мозга?
Доброкачественные опухоли головного мозга включают менингиомы, которые развиваются из оболочек мозга; нейрогенные опухоли, такие как шванномы и невриномы; аденомы гипофиза, которые возникают в области гипофиза; а также глиомы, которые могут быть менее агрессивными формами глиальных клеток. Эти опухоли обычно растут медленно и имеют более благоприятный прогноз по сравнению с злокачественными опухолями.
Советы
СОВЕТ №1
Регулярно проходите медицинские обследования, особенно если у вас есть предрасположенность к заболеваниям эндокринной системы. Это поможет выявить кисты на ранних стадиях и предотвратить возможные осложнения.
СОВЕТ №2
Обратите внимание на свое самочувствие и не игнорируйте симптомы, такие как головные боли, изменения в зрении или гормональные нарушения. При их появлении обязательно проконсультируйтесь с врачом.
СОВЕТ №3
Изучите информацию о кистах шишковидной железы и гипофиза, чтобы лучше понимать свое состояние. Это поможет вам задавать правильные вопросы врачу и принимать обоснованные решения о лечении.
СОВЕТ №4
Поддерживайте здоровый образ жизни: правильно питайтесь, занимайтесь физической активностью и избегайте стрессов. Это может помочь улучшить общее состояние организма и снизить риск осложнений.

